
Што претставуваат естетските третмани за мажи
Машката кожа бара моќни, прецизни и ефикасни решенија. Во Дерма Бела развивме специјализиран концепт за естетски третмани кај мажи, кој ги комбинира најсовремените технологии и медицинска експертиза, со цел природни и видливи резултати.
Секој клиент започнува со детална дерматолошка проценка, врз основа на која се креира индивидуален и стратешки план за третман. Пристапот е целосно персонализиран и се базира на анатомијата на машкото лице, типот на кожа и очекуваните резултати.
Третмани што ги применуваме:
Fotona 4D – неинвазивен ласерски лифтинг за подобрување на тонусот, текстурата и дефиницијата на лицето
Ботокс – за намалување на динамички брчки, со задржување на природната мимика
Дермални филери – за подобрување на волуменот, контурите и машката структура на лицето
Биоревитализација – длабинска хидратација и регенерација на кожата одвнатре
Сите процедури се изведуваат со 100% медицински надзор од специјалист дерматолог, со употреба на докажани, безбедни и клинички тестирани препарати.
Нашата цел не е промена, туку освежување, зацврстување и нагласување на машкиот изглед, со суптилни и долготрајни резултати.

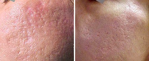
Еден од најефикасните медицинско естетски третмани за мажи е Fotona4D®Men
Неинвазивно подмладување на лице за мажи
Fotona4D®Men е иновативна форма на ласерско обновување и подмладување на кожата, специјално прилагодена за машка кожа.
Со Fotona4D®Men, комплементарните Er:YAG и Nd:YAG ласерски бранови должини на Fotona се применуваат синергистички во постапка за подмладување во 4 чекори, користејќи 3 различни патентирани режими (SMOOTH®, PIANO® и SupErficial™) за да се подобрат не само површинските, туку и медијалните и подлабоките структури на машката кожа на брз, безбеден и прецизен начин. Резултатот е моментална свежина и затегнатост со посјајна кожа која изгледа природно младешка и здрава.
Предности на Fotona4D®Men:
- протоколски поставки специјално прилагодени за мажи
- моментална свежина и затегнатост
- помлада и поздрава кожа
- резултати со природен изглед
- неинвазивни
- без време на закрепнување
Дерма Бела – каде естетиката кај мажите е прецизна, дискретна и медицински водена.







Овој третман представува наша препознатливост, особено поради специфичниот пристап на персонализирање на третманот, т.е. во зависност од потребите на кожата на клиентот се користат производи соодветни за секој тип на кожа.
– Др. Весна Ѓорѓиеска
Дерма Бела
Посетете ги нашите локации, Дерма Бела во Скопје и Студио Белеца во Прилеп. Кликнете на телефонскиот број за брза консултација.
Скопје
тел. 02 32 30 888
моб. 070 347 888
ул. Франклин Рузвелт бр.1
1000 Скопје, Република Северна Македонија
Прилеп
тел. 048 41 48 48
ул. М.Тито 47а/2
7500 Прилеп, Република Северна Македонија
Испратете ни порака
Искористете ја контакт формата за да ни пратите порака.
Ние ги читаме сите ваши пораки. Член на нашиот тим ќе ве побара во најскоро време.
